Lumbar Normal Template
Lumbar Normal Template

Lumbar Normal Template

Normal Elliptical Lumbar Template

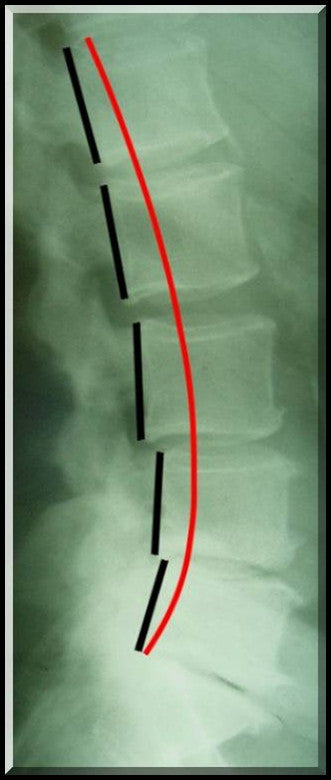
Ideal Curve Template for Lateral Lumbar X-rays. Based on Published in Journal of Orthopedic Research 1998 Distinguish between your patient's lordosis and the normal range with the Ideal Lumbar Elliptical Template. "Percentage Loss" sheet for calculating your patient's posterior tangent ARA measurement to a % loss from normal. This is part of an evidenced based report of findings.

Download "Percentage Loss" Sheet

Download Template Instructions

You may also like