Thoracic Normal Template
Thoracic Normal Template

Thoracic Normal Template

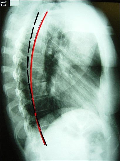
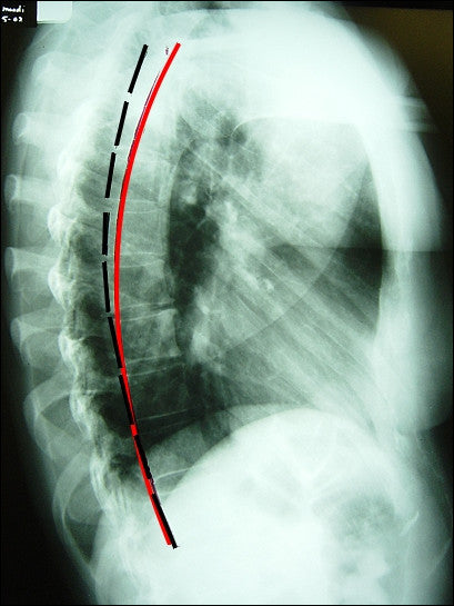
Ideal Thoracic Curve Template for Lateral Thoracic X-rays. Published in Spine 2003 This is the best ROF tool around! Simply distinguish your patients thoracic kyphosis curve from the normal range with this all new thoracic template. "Percentage Loss" sheet for calculating your patient's posterior tangent ARA measurement to a % loss from normal.

 Download "Percentage Loss" Sheet

Download Template Instructions

You may also like